About Dr. Paul Jay Hwin
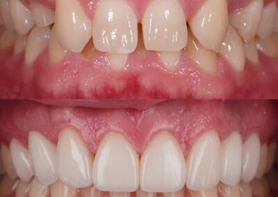
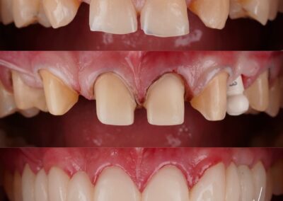
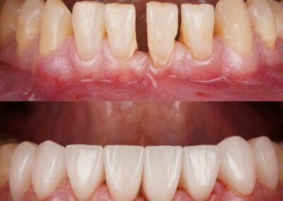
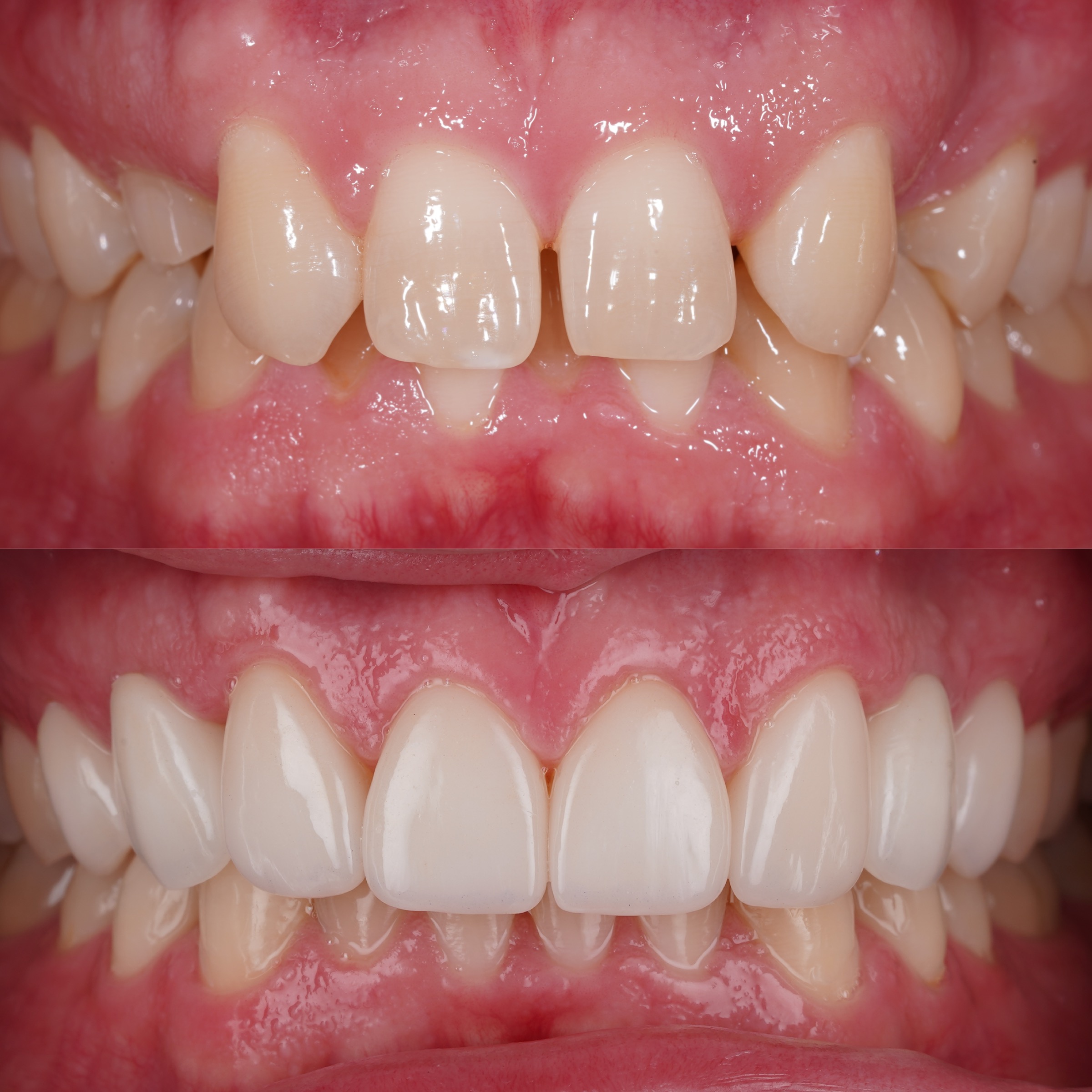
Dr. Paul Jay Hwin is a dentist practising in Melbourne, Victoria, where he owns multiple metropolitan and regional dental practices. His clinical work focuses exclusively on complex, multi-disciplinary cases involving restorative, implant, and orthodontic treatment.
His clinical philosophy centres on structured diagnosis, disciplined treatment planning, and the integration of orthodontics, implants and restorative dentistry into cohesive full-mouth rehabilitation strategies. known for his systems-based approach, dr. paul emphasises clarity in thinking, precision in execution, and predictability in complex cases.
As the head clinician overseeing more than 70 dentists, Dr. Paul is deeply committed to education and mentorship. this course is an extension of that passion – designed to positively and profoundly impact the growth of emerging clinicians.
