Preparation
Mastery

Dr. Maxim Belograd

A Collaboration by:
Type

Lecture & Hands-On

Date

10th-13th September 2026

Location

Melbourne

CPD

28

Price

$7,395 + GST Early Bird

$7,895 + GST Full Price

Course Director

join this four-day hands-on master class led by Dr. Maxim Belograd

Dr Maxim Belograd is a world-renowned educator and pioneer in microscope-enhanced aesthetic and restorative dentistry. Recognised globally for his precision, artistry and innovative workflows, he has redefined how clinicians approach restorations through magnification and adhesive protocols.

Founder of the Belograd Academy and co-organiser of the MicroVision Group, he has trained thousands of dentists across more than 40 countries. His teaching blends the science of adhesion with the finesse of minimal intervention, empowering clinicians to achieve exceptional aesthetic results with confidence and control.

preparation mastery

dr. maxim belograd

Key highlights

  • comprehensive functional treatment planning
  • aesthetic and adhesive protocols
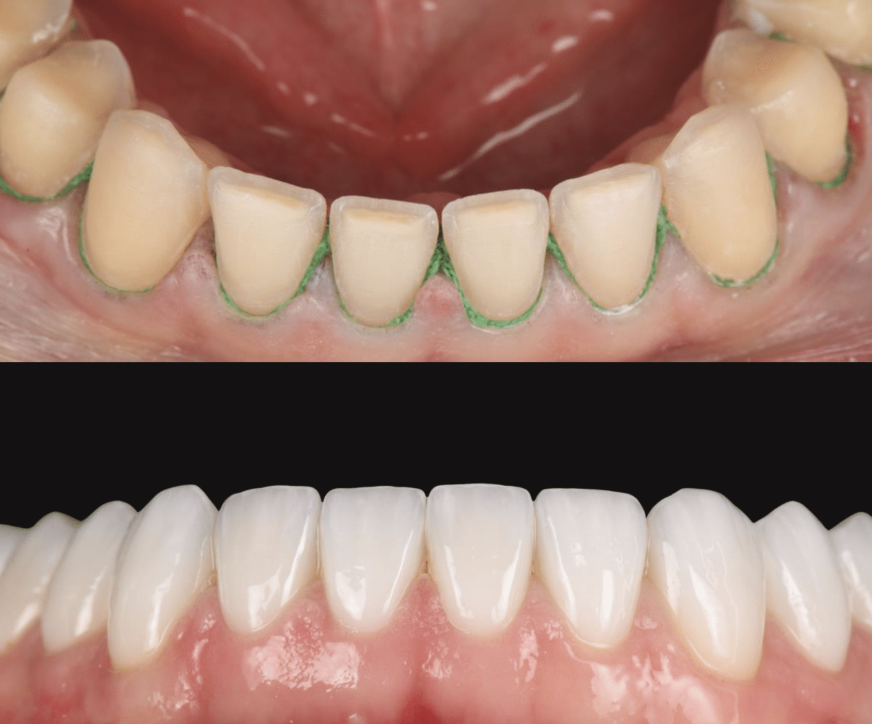
  • preparation techniques for veneers, crowns, veneer overlays
  • vertical preparation techniques & soft tissue control

program day 1: occlusion, function & full treatment planning

occlusion & functional principles
• understanding static and dynamic occlusion
• functional pathways and envelope of function

examination and diagnostic methods
• extraoral and intraoral functional assessment
• predicting functional risk before restorative intervention

bite registration methods
• techniques for reproducible bite records
• capturing centric relation reliably using leaf gauge, dawson technique with demonstration

articulator & facebow use
• articulator selection and mounting techniques
• facebow transfer accuracy and clinical relevance

cephalometric & skeletal analysis
• integrating cephalometric into restorative planning
• using skeletal and functional indicators for predictable treatment planning

digital dynamic occlusion records
• capturing dynamic occlusion digitally with modjaw demonstration
• evaluating contacts and functional interferences

comprehensive treatment planning
• interpreting diagnostic records
• comprehensive evaluation of aesthetic, functional, and digital findings
• creating a predictable, sequenced restorative plan

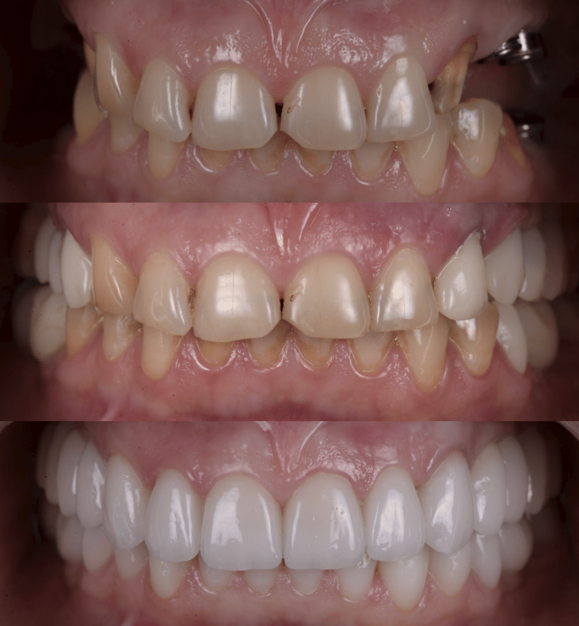
program day 2: aesthetic & adhesive protocols

photography & videography in aesthetic dentistry
• standardised photo/video protocols
• functional and aesthetic documentation for treatment planning

smile design foundations
• digital smile design workflow
• principles of smile design and proportions
• translating 2d design into 3d planning
• smile design steps, putty matrix for mock up transfer
• harmonising facial, functional, and aesthetic elements

scanning & digital workflow integration
• scan strategies for aesthetic cases
• combining digital and classic protocols where appropriate
• efficient digital lab communication

mock up & smile prototyping
• creating functional mock-ups
• smile prototype fabrication and refinement
• using prototypes for patient communication and case approval

preparation & execution
• preparation protocols through mock up
• ensuring design driven tooth reduction

provisional veneers & transitioning to final restorations
• fabrication of provisional veneers
• functional and aesthetic test drive using temporaries

bonding & isolation protocols
• adhesive sequence for veneers
• isolation strategies for predictable bonding
• material specific cementation considerations

program day 3: aesthetic preparation for veneers & crowns

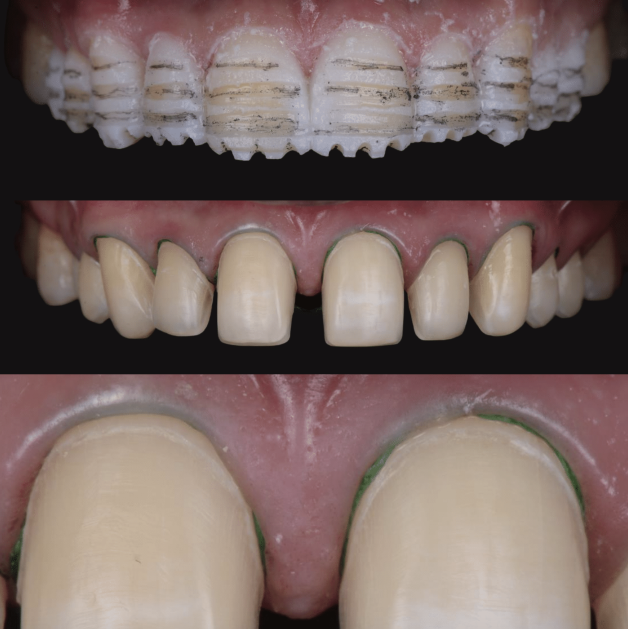
preparation concepts: minimally invasive
• veneer preparations: type 1, 2, 3 veneer prep designs
• crown preparations for anterior esthetic restorations
• veneer overlay preparations and indication driven design

tooth & arch specific approaches
• preparation strategies for anterior teeth (incisors & canines)
• preparation strategies for posterior teeth (premolars & molars)
• key differences: preps and ergonomic for upper and lower jaws
• managing anatomy, rotated teeth, enamel thickness, and structural limitations

finish line design
• choosing the correct finish line based on restoration type
• maintaining predictable enamel margins where possible
• restoring harmony between preparation design and final restorative goal

program day 4: vertical preparation & soft tissue engineering

vertical tooth preparation: step-by-step protocol
• indications and philosophy of vertical preparation
• detailed procedural sequence for predictable outcomes
• application in both anterior and posterior regions

soft tissue control through vertical freedom (bopt concept)
• manipulating soft tissue with prosthetically guided emergence profiles
• emergence profile tissue shaping through provisional contours
• achieving stable, healthy gingival margins around vertical preparations
• temporary crown relining techniques
• using provisionals to condition soft tissue
• managing emergence profile and cervical seal

impression & scanning techniques
• analog impression methods for vertical preparations
• digital scanning strategies for deep or vertical margins
• accuracy considerations, scanner workflows, and pitfalls

laboratory integration
• defining the final margin in vertical preparations
• communication protocols for clear lab prescriptions
• ensuring margin readability and emergence profile fidelity

Cancellation Policy:

1) Cancellations more than 31 days before course start date - full refund minus $200 administration fee

2) Cancellations between 15 to 30 days before course start date - 50% refund minus $200 administration fee

3) Cancellations between 0 to 14 days before course start date - no refundWe must be notified in writing of transfer no less than 14 days prior to the event & credits/transfers cannot be refunded at a later date.